Brain MRI scans showing multiple cross-sections.

MRI Links Neighborhood Disadvantage to Neurodevelopment

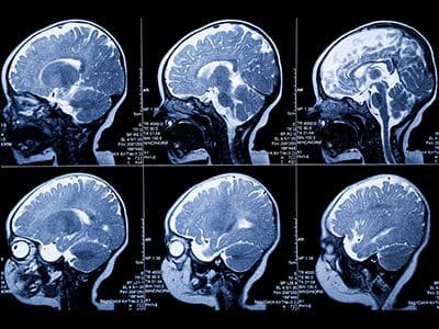
 In a study published in the journal Cerebral Cortex, Developing Brain Institute researchers led by Kevin M. Cook, Ph.D., used fetal MRI to examine the association between neighborhood conditions and fetal brain growth during pregnancy.

Read more