Skip to content

Developing
Brain Institute

  • Home
  • PMH training series hub
    • May 13, 2026 PMH Upcoming Events
    • Perinatal Mental Health Training Past Events
    • May 13 2026 PMH Training Series Resources
  • Mission
    • DC Mother-Baby Wellness program
  • Revised All Studies
    • FABMOMS
    • Fine-tuning our techniques
    • Heart2HEART
    • NICU THRIVE
    • PLAYMATES
    • PRIME ART
    • PRO-SLEEP
    • Project PROTECT
    • Mommy&Me post-recruiting page
    • Dessy’s story
    • Princeton’s story
  • News
    • Pediatric Academic Societies 2026
    • PAS 2025 Conference
    • PAS 2024 Conference
  • DBI Team Landing Page

Uncategorized

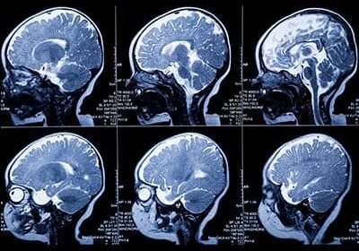
Brain MRI scans showing multiple cross-sections.

MRI Links Neighborhood Disadvantage to Neurodevelopment

By Developing Brain Institute | March 17, 2026
 In a study published in...
Read More about MRI Links Neighborhood Disadvantage to Neurodevelopment
Five babies in diapers sitting together.

Delivering Healthier Starts

By pwsadmin | December 16, 2024
Longtime Children’s National supporters Judy...
Read More about Delivering Healthier Starts
Developing Brain Institute logo.
  • KEY PROJECTS
  • MISSION
  • STUDIES
  • PMH TRAINING SERIES
  • NEWS
  • CONTACT
  • OUR TEAM

© 2026 Developing Brain Institute. All Rights Reserved.

Scroll To Top